Premium Zirconia Post
Why Dentists Are Switching to Premium Zirconia for Restorations

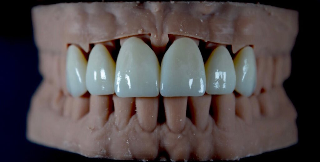
Durability Meets Beauty – Discover Premium Zirconia In the evolving world of dental restorations, Premium Zirconia is setting new standards in both durability and aesthetics. At Palm Beach Smile Design Lab, we’re proud to offer labs and dentists a next-gen solution that blends scientific precision with stunning results. Whether you’re treating a case of bruxism […]
Crowns vs Bridges: 6 Key Differences Dentists Must Know

As dental professionals, it’s crucial to understand the distinct purposes, benefits, and procedures associated with dental crowns and dental bridges. While both are vital components of restorative dentistry, they serve different roles depending on the patient’s needs. This guide highlights the top six key differences between dental crowns and bridges, providing you with detailed insights […]